Ռուս բարձրաստիճան հոգևորականը քաղաքացիական ամուսնության մեջ գտնվող կանանց մարմնավաճառ է անվանել 16.02.2020
ՖՈՏՈ. «Օրենքով գողեր»-ի դեմ գործեր են հարուցվել հանցավոր աշխարհում առաջնորդության վերաբերյալ 14.02.2020
Սկանդալային տեսանյութ. Ուսուցչուհին գրատախտակի վրա գրված օրինակներով բացատրել է երեխաներին հայհոյանք գրելու կանոնները 07.02.2020
ՏԵՍԱՆՅՈՒԹ. Իսրայելը հարված է հասցրել՝ Թեհրանից թռչող 172 ուղևորով ինքնաթիռի վայրէջքի պահին 07.02.2020
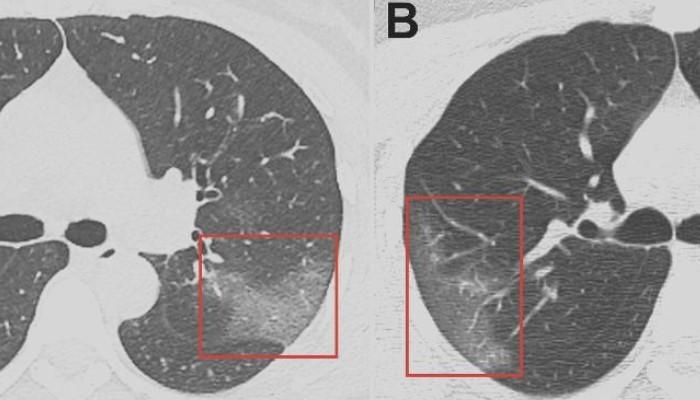
Չինաստանում կորոնավիրուսից մահացածների թիվը հասել է 425-ի. վարակվել է ավելի քան 20.438 մարդ 04.02.2020
ՏԵՍԱՆՅՈՒԹ. 8 օր անց այն շահագործվեց. Ուհանում այսօրվանից աշխատում է նորակառույց հիվանդանոցը 03.02.2020